TOPページ  

JES2006/実行委員長からのご挨拶

プログラム

症例集


症例集


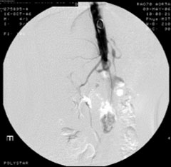
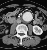
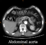
症例1
59歳 女性

【主 訴】
腹痛・体重減少(10kg)
【起始・経過】
平成15年7月より毎食後に腹痛出現。
平成18年5月他院腹部血管造影にて腹部動脈閉塞を認めたが、加療されず。
7月当院受診。
【既往歴】
41歳 子宮筋腫 → 手術
高血圧(+) 糖尿病(−) 喫煙歴(−)
【治療計画】
SMA PTA/stent(Brachial approach)

腹部血管造影検査



症例2
67歳 男性

【主 訴】
検診異常
【起始・経過】
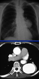
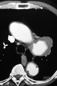
平成18年5月検診にて胸部大動脈瘤を指摘。
7月当院紹介受診。
【既往歴】
65歳 胃癌 → EMR
高血圧(+) 糖尿病(−) 喫煙歴(−)
【治療計画】
Gore社TAG stent留置術

胸部CT検査




腹部CTA検査



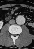
症例3
59歳 女性

【主 訴】
検診異常
【起始・経過】
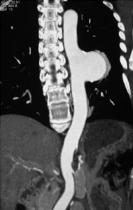
平成18年、近医にて胸部下行大動脈瘤を指摘。
7月当院紹介受診
【既往歴】
高血圧(+) 糖尿病(−) 喫煙歴(−)
【治療計画】
Gore社TAG stent留置術

症例3



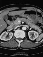
症例4
72歳 男性

【主 訴】
胸背部痛
【起始・経過】
平成18年7月CC出現。
平成18年8月当院紹介受診。
CAT scanにて弓部瘤の診断。
【既往歴】
CHF、高血圧(+) 喫煙歴(20本×30年)
【治療計画】
血管造影にて適応があればGore社TAG stent留置術

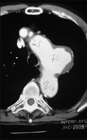
胸部CAT Scan所見



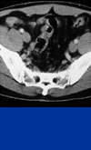
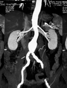
症例5
74歳 男性

【主 訴】
検診異常, 間歇性跛行
【起始・経過】
かねてより、100mの間歇性跛行。
平成11年、腹部大動脈瘤を指摘された。
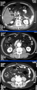
平成18年1月CTにて増大傾向を認め当院紹介受診。
AAA size 5.2 cm
【既往歴】
74歳 HCC→TAE
高血圧(+) 糖尿病(−) 喫煙歴(−)
【治療計画】
AAA stent graft(Cook Zenith) + Lt iliac stenting + Lt internal iliac embolization

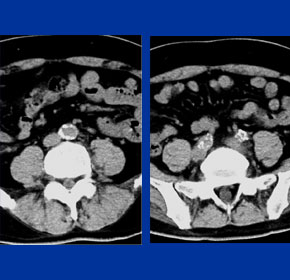
Pre-operative CAT scan



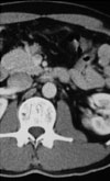
症例6
67歳 男性

【主 訴】
検診異常
【起始・経過】
平成15年より腹部大動脈瘤を指摘。
平成18年1月CTにてφ5cm大のAAAを認め7月当院紹介受診。
【既往歴】
56歳 AMI→PCI
64歳 Rectal Ca→ope
高血圧(+) 糖尿病(−) 喫煙歴(15本×30年)
【治療計画】
Cook Zenith AAA stent graft

症例6



症例7
74歳 女性

【主 訴】
両側間欠性跛行
【起始・経過】
平成17年より主訴(100m)認めた。
平成18年3月当院紹介受診。
【既往歴】
70歳 AMI→PCI
高血圧(+) 糖尿病(+) 喫煙歴(−)
ABI:右0.78 左0.75
【治療計画】
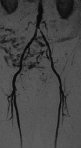
左SFA PTA/stent/Cutting Balloon/atherectormy?

症例7



症例8
58歳 男性

【主 訴】
左間歇性跛行(150m)
【起始・経過】
平成18年1月より間欠性跛行出現。
平成18年3月近医受診しASOと診断され、Cilostazolにて保存的に加療するも改善なし。
6月当院紹介受診。
【既往歴】
胃潰瘍
54歳 脳梗塞(内服)
高血圧(+) 糖尿病(−) 喫煙歴(10本×30年)
ABI:右1.0 左0.6
【治療計画】
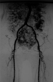
Bilateral CIA Stenting (Kissing stent with Palmaz stent)

症例8 MRA



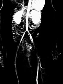
症例9
54歳 男性

【主 訴】
両下肢間歇性跛行(100m)
【起始・経過】
平成17年より間歇性跛行(100m)出現。
Pletaalにて加療するも症状の改善なし
平成18年5月当院紹介受診。
【既往歴】
52歳 DM・CRF→HD中
54歳 狭心症→PCI
高血圧(+) 喫煙歴(50本×30年)
ABI:右0.7 左0.9 (高度石灰化)
【治療計画】
当日考える

症例9 MRA / CT



症例10
58歳 男性

【主 訴】
両下肢間歇性跛行
【起始・経過】
平成8年頃より両下肢間歇性跛行(400m)出現。
平成18年4月、当院循環器内科にてPCI施行。
その際の下肢動脈造影にて右EIA狭窄と両側SFAのCTOを認めた(Lt>Rt)。
6月当院紹介受診。
【既往歴】
49歳 肺リンパ腫(化学療法)
高血圧(+) 糖尿病(+) 喫煙歴(−)
ABI:右 0.59 左 0.59
【治療計画】
当日 皆さまと決めましょう

MRA



症例11
38歳 男性

【主 訴】
右足趾疼痛(Rest pain)
【起始・経過】
平成16年右下肢疼痛出現。
平成17年より右下肢のしびれ出現。
平成18年4月当院紹介受診。
【既往歴】
30歳 もやもや病
高血圧(+) 糖尿病(−) 喫煙歴(+)
ABI:右0.8 左1.0
【治療計画】
たぶんKissing stent (Palmaz)

症例11 MRA



症例12
53歳 女性

【主 訴】
左間歇性跛行(300m)
【起始・経過】
平成18年2月脳梗塞にて近医入院。
退院後より主訴出現。
Cilostazolに抵抗性のため、平成18年6月当院紹介受診。
MRAにて左SFAのLong CTO。
【既往歴】
53歳 脳梗塞
高血圧(−) 糖尿病(−) 喫煙歴(−)
ABI:右1.0 左0.7
【治療計画】
Front Runnerによるrecanalization + Nitinol stent

症例12 MRA



症例13
80歳 男性

【主 訴】
検診異常(Lt Asymptomatic ICA stenosis)
【起始・経過】
20年以上前より幻暈を認めた。
平成15年より起立時幻暈増悪。
平成16年他院にて左頸動脈の狭窄を指摘。
平成18年7月当院紹介受診。
【既往歴】
60歳 GB stone→ope
高血圧(+) 糖尿病(−) 喫煙歴(−)
【治療計画】
まず、脳血管撮影。必要なら、Carotid stent with Brain protection

症例13



症例14
45歳* 男性

【主 訴】
検査異常
【起始・経過】
平成18年2月腹痛精査にて腹部大動脈瘤を指摘され、当院紹介受診。
【既往歴】
高血圧(−) 糖尿病(−) 喫煙歴(30本×20年)
* 性的Activity(+)
【治療計画】
ササッとPercutaneous AAA stent (Gore Excluder/Abbott Prostar closure device)

AAA:Gore Excluder


腎動脈から2cm



症例15
72歳 男性

【主 訴】
左上肢脱力(脳梗塞、右半球)
【起始・経過】
平成18年7月20日主訴出現。
7月26日、脳梗塞にて入院。
MRAにて右頚動脈完全閉塞、左内頚動脈高度狭窄を認め8月当院紹介受診。
【既往歴】
70歳 関節リウマチ
高血圧(−) 糖尿病(−) 喫煙歴(−)
【治療計画】
Carotid stenting with Brain Protection

症例15



症例16
71歳 男性

【主 訴】
左arm claudication
【起始・経過】
平成17年より血圧左右差を指摘される(40mmHg)
平成18年6月他院にて左鎖骨下動脈狭窄を指摘。
7月当院紹介受診。
【既往歴】
68歳 前立腺癌→ope
高血圧(+) 糖尿病(+) 喫煙歴(−)
Subclavian steal syndrome (−)
【治療計画】
ササッとPalmaz stent

フィニッシュ症例 MRA